Ultrasounds are one of the components used to diagnose Polycystic Ovary Syndrome (PCOS).
The diagnosis is usually one of exclusion, which means your medical provider considers all of your signs and symptoms and then rules out other possible disorders. In this process, medical history is considered, including menstrual periods, weight changes and other symptoms.
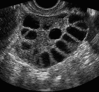
The doctor may also order certain tests and exams, one of which would be a pelvic ultrasound. In PCOS, the ovaries could appear enlarged with multiple (more than 12) cysts/follicles on each side. Below is an example of what a PCOS ovary would look like on ultrasound.
Learn more about Female Infertility.
